
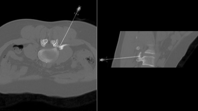
Bei verschleißbedingten Schmerzen der Wirbelsäule oder Bandscheibenproblemen können unter computertomographischer Kontrolle schmerz- und entzündungshemmende Medikamente zielgenau an die Schmerzquelle gebracht werden. Dadurch wird eine Schmerzlinderung über Wochen bis Monate erreicht.

