
Auf dem Gebiet der Endoprothetik gibt es schwierige Fälle bei anatomischen Varianten der Gelenke oder Zuständen nach Unfällen, die einer speziellen endoprothetischen Versorgung bedürfen.
In unserer Klinik werden auch diese Patienten operiert, die an vielen anderen Kliniken nicht mehr versorgt werden können. Hierfür greifen wir gegebenenfalls auf spezielle Implantate wie modular zusammensetzbare Prothesen oder auch individuelle Sonderanfertigungen von Prothesen zurück (Abbildung 1). Letztere werden anhand von Röntgenbildern und CT-Datensätzen für den Patienten individuell angefertigt.
Im Nachfolgenden sehen Sie einige Beispiele für spezielle Versorgungen, die an unserem Zentrum für Endoprothetik durchgeführt worden sind.
Die Patientin war aufgrund einer kindlichen Verletzung mit einer sogenannten Umstellungsoperation an der re. Hüfte voroperiert worden. Hierdurch lagen der gelenknahe Anteil des Oberschenkels sowie der Verlauf des Oberschenkelknochens nicht mehr in einer Achse. Eine herkömmliche Hüftendoprothese hätte nicht in den Oberschenkelschaft eingeführt werden können.
Die Patientin wurde mit einer modular zusammensetzbaren Spezialprothese versorgt und der alte Abstand zwischen Oberschenkelknochen und Becken konnte so wieder rekonstruiert werden (Abbildung 2).
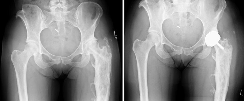
Eine Patientin erlitt vor Jahren eine schwere Verletzung am li. Oberschenkel, wobei dieser stark deformiert wurde. Der normalerweise zur Verankerung der Hüftprothese verwendete Markraum (Das Innere der Oberschenkelröhre) war durch das Verschrauben und die Bruchheilung mit Knochen zugewachsen.
Bei der noch jungen Patientin wurde daher ein Oberflächenersatz am Hüftgelenk durchgeführt, eine sogenannte Kappenprothese. Hierbei bleibt die Kugel des Hüftkopfes erhalten und nur die zerstörte Knorpeloberfläche wird ersetzt. Die Hüftgelenkpfanne wird in herkömmlicher Weise ersetzt.
Aufgrund einer schweren Allgemeinerkrankung, die auch den Knochen schädigte, kam es bei dieser Patientin zu einer extremen X-Bein-Fehlstellung von knapp 45° (Abbildung 3). Das Bein konnte durch die Knieprothese wieder auf die natürliche X-Bein-Stellung von etwa 8° korrigiert werden.
Hierfür wurde eine gekoppelte modulare Scharnierprothese verwendet. Bei solch extremen Fehlstellungen treten spezielle Probleme bei der Versorgung auf: So ist es sehr schwierig, die Kniescheibe in ihr altes Lager zurückzubringen. Bei Korrekturen dieses enormen Ausmaßes ist ein Nerv an der Knieaußenseite gefährdet, der durch die lange bestehende Fehlstellung verkürzt ist und bei vollständiger Achskorrektur überdehnt werden könnte.
Abbildung 4: Der Knochenverlust an der äußeren Oberschenkelrolle, der zur Fehlstellung führte, ist links im Bild gut zu sehen. Rechts das korrigierte Bein.
