
Alleine in Deutschland werden jährlich über 100.000 Hüftendoprothesen sowie beinahe so viele Knieendoprothesen implantiert. Die Zahl ist bei der älter werdenden Bevölkerung ansteigend. Auch wenn in den letzten Jahren immer bessere Standzeiten der Prothesen erzielt worden sind, so unterliegen diese doch einem Verschleiß und lockern nach und nach aus. Aufgrund der steigenden Implantationszahlen an Prothesen sowie des steigenden Altersdurchschnitts der Bevölkerung werden immer mehr operationstechnisch anspruchsvolle Endoprothesen-Wechsel notwendig.
Bei entsprechender Belastung wird jede Prothese irgendwann verschließen und auslockern. Durch die dauernden Bewegungen zwischen Gelenkkugel und Pfanne an der Hüfte bzw. zwischen Unterschenkelteil zu Oberschenkelteil einer Knieendoprothese kommt es zu einem Verschleiß der Kunststoff- oder Keramikanteile. Diese Verschleißpartikel gelangen in die Grenzzone zwischen Prothese und Knochen bzw. Knochen und Knochenzement. Die Reaktion des Körpers auf diese Abriebpartikel führt schließlich zum Auslockern des Implantates. Darüber hinaus darf nicht vergessen werden, dass über mehrere Jahrzehnte Standzeit der Prothese sich auch der Knochen durch Altersveränderungen z. B. im Bereich des Oberschenkelschaftes verändert und aufweitet, so dass Prothesenschäfte einsinken.
In den überwiegenden Fällen treten nach zunächst guter Funktion von Knie- u. Hüftendoprothesen Schmerzen auf, die vom Patienten erstgenommen werden sollten und Anlass zu einer klinischen sowie Röntgenuntersuchung geben sollten. Hierbei können Lockerungszonen und Gebiete von aufgelöstem Knochen um die Prothese herum erkannt werden. In Einzelfällen kann jedoch eine schmerzfreie Funktion der Prothese vorliegen, es sind jedoch röntgenologisch schon deutliche Veränderungen erkennbar, die schließlich sogar zum Ausbrechen der Prothese oder Brechen des Knochens führen können (Abb. 1).
Es sollte daher mit zunehmendem Lebensalter der Prothese regelmässig eine Röntgenkontrolle z. B. einmal jährlich durchgeführt werden!
Während heute in vielen Kliniken Knie- u. Hüftprothesen eingebaut werden, so ist doch der Wechsel dieser Prothesen technisch anspruchsvoll und sollte nur in darauf spezialisierten Zentren durchgeführt werden. Die Risiken bei einer Wechseloperation sind deutlich höher als bei einem Ersteinbau einer Prothese. Dies betrifft sowohl die Infektionsrate als auch mechanische Komplikationen sowie den Blutverlust bei diesen Operationen. Die Operationsdauer ist in der Regel wesentlich länger als beim Ersteingriff und ein Krankenhaus sollte für solche Operationen eine erfahrene Anästhesieabteilung sowie eine Intensivstation vorhalten können.
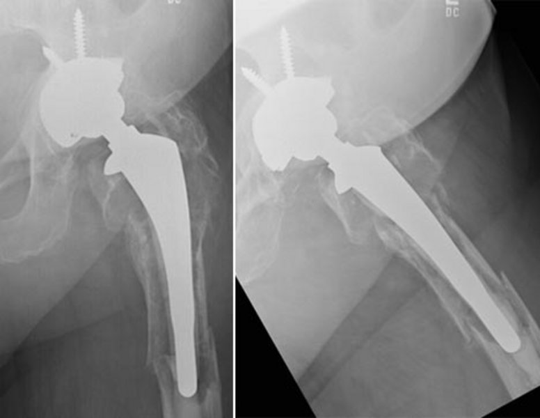
Jeder Prothesenwechsel erfordert ein individuelles Vorgehen, das nur teilweise standardisiert ist. Die Wechselendoprothetik erfordert große Erfahrung und setzt ein umfangreiches Arsenal an verschiedenen Endoprothesentypen voraus, um während der Operation auftretende Komplikationen zu beherrschen. Wir verwenden im Hüftbereich verschiedene Schäfte, die z. T. modular aufgebaut und den individuellen Gegebenheiten angepasst werden können. Die Defektzonen und gebrochenen Anteile werden mit langen Spezianschäften überbrückt (Abb. 2). Auch im Bereich der Hüftpfanne müssen die oft großen Defekte teilweise mit Knochen oder mit Stützschalen sowie Spezialimplantaten wieder aufgebaut werden.
Im Bereich der Knieendoprothetik sind Wechsel ebenfalls anspruchsvoll und setzen eine Bevorratung von verschiedenen Prothesenmodellen voraus, um Knochendefekte wieder aufzubauen oder verlorene Bandhaltefunktionen zu ersetzen.
Nach einer Wechseloperation am Knie oder an der Hüfte müssen Sie mit einer längeren Nachbehandlungsphase als nach einem Ersteinbau rechnen. Bei größeren Defekten im Bereich der Hüftpfanne oder im Bereich des Schaftes werden zementfreie Implantate verwendet, die zunächst nicht belastet werden können. Hier muss über Monate der Knochen wieder nachwachsen, der durch Zement oder Abriebpartikel zuvor zerstört worden war. Daneben gibt es aber auch einfachere Wechseloperationen, bei denen der Patient nach kurzer Zeit wieder voll belasten kann und schnell wieder mobil wird.
Nach Implantation einer Endoprothese sollten Sie regelmäßig zur klinischen Untersuchung sowie zur Röntgenkontrolle gehen. Je länger die Implantation der Prothese zurückliegt, desto häufiger sollte sie röntgenologisch untersucht werden. Werden Lockerungen nämlich rechtzeitig erkannt, so kann ggf. nur ein Teil der Prothese, der verschlissen ist ausgetauscht werden. Auch ist bei einem rechtzeitigen Erkennen einer beginnenden Lockerung die Wechseloperation einfacher und für den Patienten mit einem kürzeren Krankenhausaufenthalt, weniger Blutverlust und einer rascheren Mobilisation verbunden.